গলার স্বর বসে যাওয়া: কেন সতর্ক হওয়া উচিত?
গলার স্বর বসে যাওয়ার বিভিন্ন কারন রয়েছে, এর মধ্যে কিছু আছে তেমন একটা ক্ষতিকর নয় আর কিছু আছে খুবই মারাত্মক। গলার স্বর বসে যাওয়ার অসংখ্য কারন রয়েছে, এর মধ্যে গুরুত্বপূর্ণ কয়েকটা নিচে উল্লেখ করলাম:
১। একিউট বা ক্রনিক ল্যারিন্জাইটিস/ স্বরযন্ত্রের প্রদাহ: এটা স্বল্প বা দীর্ঘ মেয়াদ হতে পারে। এতে সাধারনত গলাব্যাথা, খুসখুসে কাশি থাকতে পারে।
২। স্বরযন্ত্রে ট্রমা বা আঘাত: এটা বাহিরের কোন কিছু দিয়ে আঘাত হতে পারে বা হঠাৎ উচ্চস্বরে আওয়াজ করার কারনে হতে পারে, যার প্রভাব সুদুরপ্রসারী হতে পারে। তবে এটা সময়ের সাথে উন্নতি হতে পারে।
৩। স্বরযন্ত্রের টিউমার : এটা বিনাইন (ভাল) বা ম্যালিগ্নেন্ট (ক্যান্সার) টিউমার হতে পারে। এতে সাধারনত বসে যাওয়া স্বর আর ভাল হয়না বরঞ্চ এটা ক্রমান্বয়ে বেড়ে যেতে থাকে। একটা পর্যায়ে গিয়ে প্রচন্ড শ্বাসকষ্ট হতে থাকে।
৪। স্বরযন্ত্রের একপাশ অবশ হয়ে যাওয়া: এটা হয় যদি রেকারেন্ট ল্যারিন্জিয়াল নার্ভ আঘাতপ্রাপ্ত হয় যা টিউমারের কারনে বা বাহ্যিক আঘাতের কারনে, এমনকি বিনাকারনে(ইডিওপ্যাথিক) ও হতে পারে।

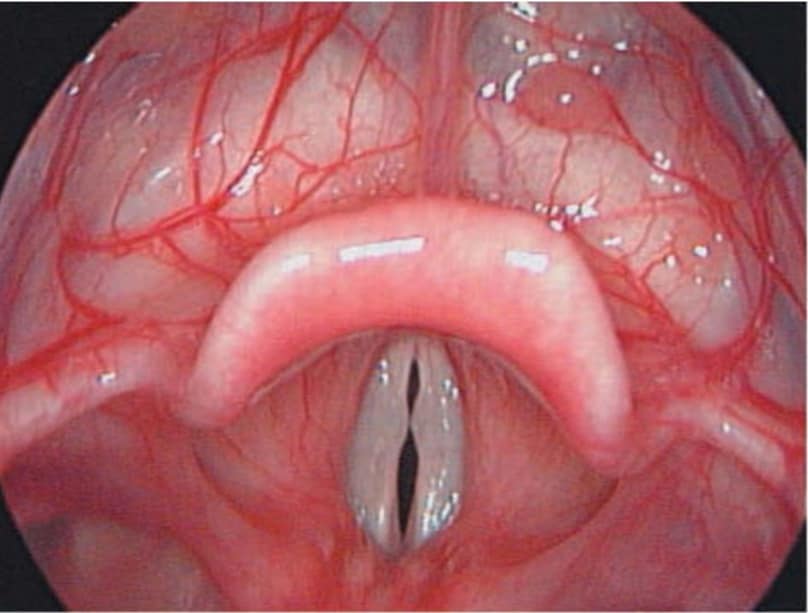
ভোকাল কর্ড পলিপ
স্বর বসে গেলে করণীয় কি?
১। এরকম স্বর বসে যাওয়া যদি ২ সপ্তাহের বেশি হয়, বয়স ৪০ এর বেশি হয় এবং ক্রমান্বয়ে বাড়তে থাকে সেক্ষেত্রে অবশ্যই FOL (Fiberoptic laryngoscopy) করে স্বরযন্ত্রের পরীক্ষা করা উচিত। এই পরীক্ষার মাধ্যমে স্বরযন্ত্রের কোন রোগ থাকলে সেটা দেখা যায়।
২। উচ্চস্বরে কথা বলা পরিহার করা উচিত।
৩। ধূমপান পরিহার করা উচিত যেহেতু ধূমপান থেকেও গলার টিউমার ( ক্যান্সার) হতে পারে।
৪। এসিড রিফ্লাক্স বা পাকস্থলির খাদ্যরস যাতে উপরে উঠতে না পারে সেজন্য যথাযথ চিকিৎসা নিতে হবে।
৫। নাক, সাইনাস,গলা ও ফুসফুসে কোন ইনফেকশন থাকলে সেটার যথাযথ চিকিৎসা নিতে হবে।

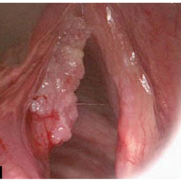
স্বরযন্ত্রের ক্যান্সার
স্বর বসে যাওয়ার প্রাথমিক চিকিৎসা:
- স্টীম ইনহেলেশন বা গরম পানির ভাপ নেয়া।
- ব্যাথানাশক ঔষধ, যদি ব্যাথা থাকে।
- এন্টিবায়োটিক, যখন সেকেন্ডারী ইনফেকশনের ঝুঁকি থাকে
- এন্টিআলসারেন্ট, যদি গ্যাসট্রাইটিস বা এসিড রিফ্লাক্সের ইতিহাস থাকে।

ডাঃ মাহমুদ উল্লাহ্ ফারুকী
ডাঃ মাহমুদ উল্লাহ্ ফারুকী ঢাকা মেডিকেল কলেজ থেকে (কে-৬২) এমবিবিএস এবং বঙ্গবন্ধু শেখ মুজিব মেডিকেল বিশ্ববিদ্যালয় থেকে এম.এস পাশ করেন। বিসিএস স্বাস্থ্য ক্যাডারের এই কর্মকর্তা বর্তমানে চট্টগ্রাম মেডিকেল কলেজ হাসপাতালে নাক, কান ও গলা রোগ বিশেষগ এবং হেড-নেক সার্জন হিসেবে কর্মরত আছেন।

আপনার সাথে মেসেঞ্জার অথবা হোয়াটসঅ্যাপ এ যোগাযোগ করতে চাই।